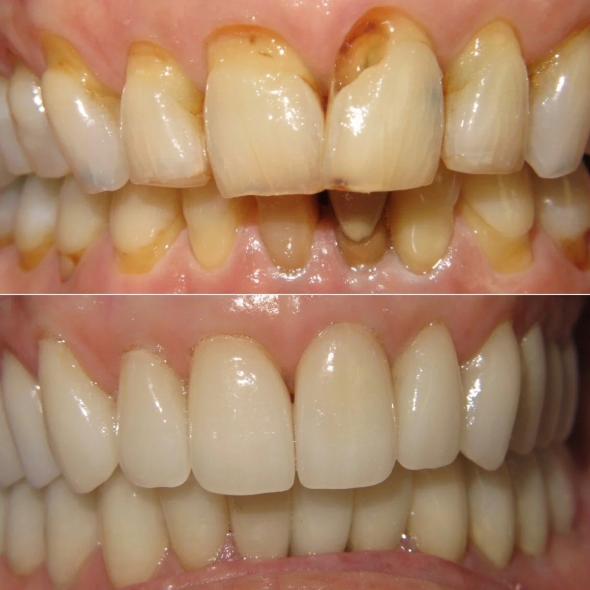
Reconstructive dentistry sometimes is required after trauma to the mouth or teeth. Accidental trauma such as a car accident or a fall can cause tooth trauma. While a tooth that has sustained a minor chip can be repaired with dental bonding or porcelain veneers, more serious damage may require the structural support of a dental crown.
Sometimes when we cannot save your tooth, we will perform a tooth extraction. If you have lost one or more teeth, we can replace teeth with fully functional and highly attractive restorations such as dental implants, which is the standard of care for tooth replacement. Dental implants fully restore the function of the lost tooth and have a natural look and feel. Dental bridges are also an option for tooth replacement.
Reconstructive Dentistry for Tooth Decay
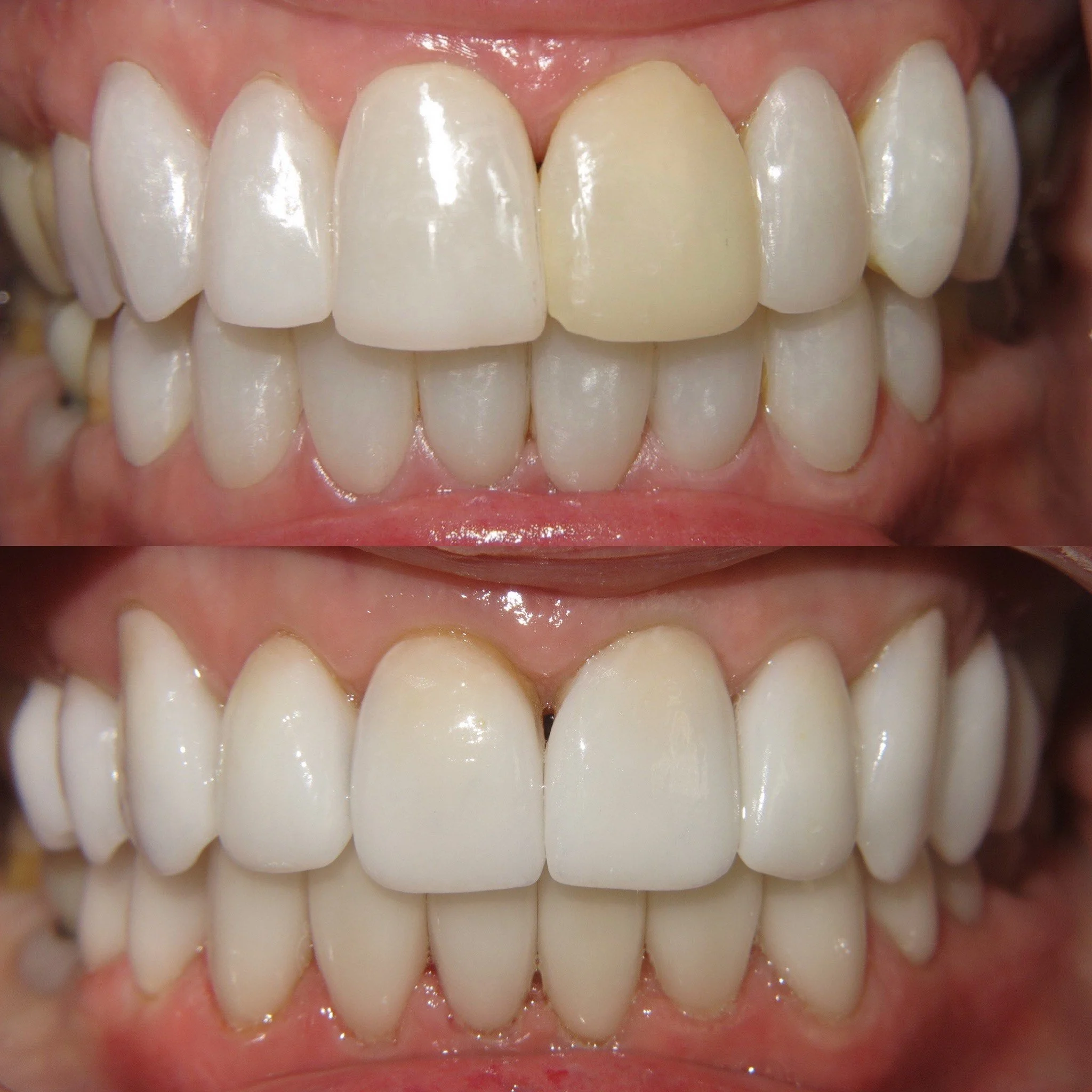
A common reason patients need reconstructive dentistry is tooth decay. Tooth decay is caused by oral bacteria, which eat sugars and other carbohydrates in the food we eat. These bacteria then form biofilms that cling to your teeth and excrete acid. The acid attacks your teeth, removing minerals from them and eventually creating small holes called cavities. Small cavities are typically treated with fillings. Currently, we use tooth-colored fillings to repair cavities. This may be a composite resin filling or a ceramic inlay or onlay depending on the location of the cavity, the size of the cavity, and your preferences. As a cavity grows, or if new decay develops around an old filling, the tooth may lose structural integrity. When this occurs, we will replace or supplement fillings with a dental crown. A dental crown completely covers the visible surface of the tooth and can protect it from future decay to a great extent. If decay progresses too far before we manage to put a crown on, it can penetrate into the internal chamber of the tooth, the area where the living part of the tooth, called the pulp, is found. When this occurs, your tooth will become infected. As bacteria grow inside the tooth, it can cause terrible pain, and the infection can spread to your brain, heart, or lungs if it’s not treated soon enough. Fortunately, we can remove the infection and restore the tooth to full function and beauty with root canal therapy. When this is done, the treated tooth may continue to be in your mouth for decades or more.



Full Mouth Reconstruction
Full mouth reconstruction by Dr. Marzban is an excellent course of action if you have experienced severe damage to multiple teeth, affecting most or even all your teeth. Dr. Marzban’s training and experience in creating beauty, balance, and breath (airway posture) for her patients makes her an ideal dentist to perform both the health and cosmetic aspects of full mouth reconstruction.


In a full mouth reconstruction with Dr. Marzban, the patient experiences her training in creating a balanced bite. For some patients, this will correct years of temporomandibular joint disorder which is the outcome of dysfunction in the jaw joint. Assuring the correct bite is also vital to airway-centric dentistry to assure that your airway is properly formed. For some patients, this will correct obstructive sleep apnea, which is the result of a malformed airway. These components, which assure balance and breath form the foundation of Dr. Marzban’s full mouth reconstruction process.
With the healthy structure in place, Dr. Marzban’s more than twenty years of experience as a cosmetic dentist allow her to complete the full mouth reconstruction with excellent aesthetics. The full mouth reconstruction is an involved process, but the results give patients full function and beauty back, which is a great reward. Full mouth reconstruction is frequently a major positive life change and, for some, a second chance at oral health and beauty.
Are you looking for a reconstructive dentist in Fairfax County? Please click here or call 703-323-8200 today for an appointment with Dr. Pamela Marzban in Burke, VA.
Preventive dentistry is the best way to maintain the health and beauty of your teeth. By avoiding tooth decay and tooth wear, you can keep your natural teeth for life. But it’s not always possible to avoid tooth decay or trauma. And that’s when we call on reconstructive dentistry. With modern techniques, technologies, and materials, it’s now possible to do more with reconstructive dentistry. Virtually any damage to your smile can now be restored to give you beautiful, healthy, functional teeth. Dr. Marzban is certified in Digital Smile Design (DSD). This advanced approach to reconstructive dentistry helps Dr. Marzban to design your restorations to make a smile that’s not just beautiful on its, own: it harmonizes with all the features of your face. And because DSD works with video, not just pictures, it helps us achieve a smile with dynamic beauty that matches your every mood.
Reconstructive Dentistry for Tooth Decay
Tooth decay is probably the most common chronic illness we face in America. About 96% of all adults in the US have had a cavity.
Tooth decay is caused by oral bacteria, which eat sugars and other carbohydrates in the food we eat. These bacteria then form biofilms that cling to your teeth and excrete acid. The acid attacks your teeth, removing minerals from them and eventually creating small holes. This is what we call a cavity. Small cavities are typically treated with fillings. Currently, we use tooth-colored fillings to repair cavities. This may be a composite resin filling or a ceramic inlay or onlay depending on the location of the cavity, the size of the cavity, and your preferences.
As a cavity grows, or if new decay develops around an old filling, the tooth may lose structural integrity. When this occurs, we will replace or supplement fillings with a dental crown. A dental crown completely covers the visible surface of the tooth and can protect it from future decay to a great extent.
If you are looking for reconstructive dentistry in Fairfax County, please call 703-323-8200 today for an appointment with Burke, VA reconstructive dentist Dr. Pamela Marzban.
Replacing Lost Teeth
Unfortunately, there are some times when we cannot save your tooth. In that case, we will perform a tooth extraction. If you have lost one or more teeth, you may think nothing can be done, but that’s not true. You can have your teeth replaced with fully functional and highly attractive restorations like a dental bridge or dental implants.
A dental bridge is good under some conditions, but, generally, dental implants are preferred as the most natural tooth replacements in appearance and function.
Tooth Trauma
Another reason why you might need reconstructive dentistry is tooth trauma. Tooth trauma can occur as a result of many different types of accidents–such as a fall or car accident–but it’s also commonly caused by violence.
Our teeth are strongest against vertical pressure–the up-and-down biting force that they deal with most of the time. They’re weaker against force from other directions. And they’re brittle, even though they’re strong, so they’re likely to fracture.
A tooth that has sustained a minor chip can be repaired with dental bonding or porcelain veneers. Teeth that have sustained more serious damage may require the structural support of a dental crown.