Smiling woman patient after teeth bonding
beauty

Teeth Bonding

Cosmetic and Neuromuscular Dentistry in Burke, VA

Book an Appointment

Teeth Bonding: small touch, big glow-up

Sometimes the smallest refinements make the biggest impact. With teeth bonding, we can smooth chips, close little gaps, brighten worn edges, and even out your smile—usually in just one visit. Dr. Marzban uses a custom-blended, tooth-colored resin that melts seamlessly into your natural enamel, so nothing ever looks “done”… just better.

Whether we use bonding on its own or as part of a bigger cosmetic plan, the goal is simple: a stronger, more balanced, effortlessly beautiful smile that still feels like you—only elevated.

Contact Us

When to Consider Teeth Bonding

Bonding is an excellent option for addressing a range of aesthetic and functional concerns, including:

  • Chipped, cracked, or fractured teeth

  • Irregular tooth shape or size

  • Small gaps or mild spacing concerns

  • Worn or uneven edges

  • Deep stains or discoloration

  • Exposed roots from gum recession

Because treatment is completed in a single appointment, patients leave that same day with a noticeably refreshed, more confident smile. During your consultation, Dr. Marzban will review all cosmetic options—such as porcelain veneers or crowns—to ensure bonding is the best fit for your goals.

Teeth during teeth bonding

The Benefits of Teeth Bonding

Patients appreciate bonding because it delivers immediate, meaningful changes with minimal alteration to natural tooth structure.

Bonding can:

  • Be completed in one visit

  • Provide instant improvement

  • Preserve the majority of your natural enamel

  • Address multiple concerns at once

  • Serve as a more affordable alternative to veneers or crowns

When performed by a highly trained cosmetic dentist like Dr. Marzban, bonding is shaped and polished with meticulous attention to detail, blending seamlessly with surrounding enamel for a healthy, symmetrical look.

Understanding the Limitations

Bonding is effective and versatile, but it isn’t ideal for every situation. Composite resin is durable, though not as strong or stain-resistant as porcelain, and may require periodic maintenance.

Bonding may not be preferred if:

  • The tooth experiences significant bite pressure

  • You regularly drink coffee, tea, or wine (composite can stain over time)

  • You want the longest-lasting, most stain-resistant restoration

Because bonding is sculpted chairside, results rely heavily on the dentist’s artistic precision. Dr. Marzban’s advanced training in cosmetic and neuromuscular dentistry ensures your bonding not only looks beautiful but also functions comfortably within your bite.

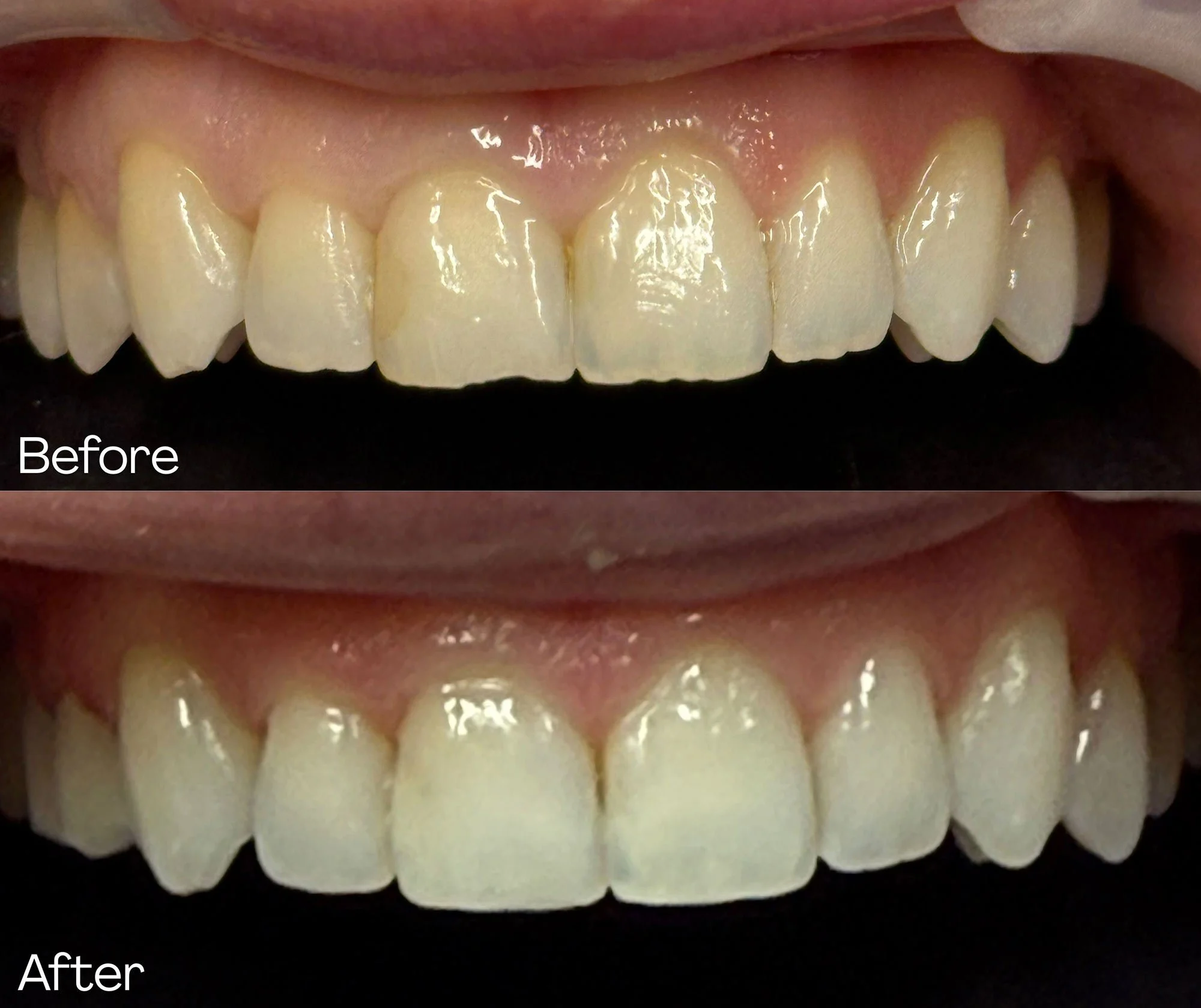
Teeth before and after teeth bonding

A Natural, Long-Lasting Solution

Bonding is made from a custom-tinted composite resin that is layered, shaped, and polished to match your natural teeth. With consistent home care—twice-daily brushing, flossing, and routine professional cleanings—bonding can last several years before touch-ups are needed.

For patients seeking a more durable, stain-resistant, and long-term cosmetic solution, Dr. Marzban may recommend porcelain veneers as an alternative.

Feature

Teeth Bonding

Porcelain Veneers

Treatment Time Single Visit 2–3 Visits
Material Composite Resin Advanced Porcelain
Durability 3–7 Years 10–20 Years
Stain Resistance Moderate Excellent
Cost Lower Higher
Ideal For Minor Imperfections Full Smile Transformations

Care and Maintenance

Bonded teeth require the same care as natural ones:

  • Brush and floss daily

  • Avoid biting on hard objects like ice or pens

  • Minimize dark beverages to prevent staining

  • Visit for cleanings every six months

  • Wear a retainer if you grind your teeth

Marzban dental office front desk

Start Your Smile Transformation

If you’re looking for an affordable, fast, and effective way to improve your smile, teeth bonding may be the perfect solution. Call 703-323-8200 or contact Dr. Pamela Marzban, trusted Fairfax and Burke cosmetic dentist, to schedule your consultation today.

Book an Appointment