Smiling woman patient with Invisalign
beauty

Invisalign® Clear Braces

Cosmetic and Neuromuscular Dentistry in Burke, VA

Book an Appointment

A modern alternative to traditional braces

For many professionals in Northern Virginia, metal braces aren’t just inconvenient—they’re a hard no. Brackets and wires can undermine a polished, executive presence. That’s why Dr. Pamela Marzban offer Invisalign® clear aligners: a sleek, modern, almost invisible way to straighten your smile without sacrificing style, confidence, or credibility. It’s orthodontics that works with your life—not against it.

Contact Us
Smiling woman patient before Invisalign

Invisalign® straightens your teeth using a custom-designed series of clear, removable aligners that gradually shift your teeth into their ideal position. These aligners are virtually invisible, comfortable to wear, and removable for eating, brushing, and special occasions.

If you’ve avoided orthodontic treatment because of the inconvenience or appearance of metal braces, Invisalign offers an advanced and lifestyle-friendly alternative.

Benefits of Invisalign®

Invisalign has become one of the most popular orthodontic treatments for adults and older teens—and for good reason. It offers all the effectiveness of traditional braces with none of the hassle.

Key benefits include:

  • Discreet design: Clear, virtually invisible aligners keep your treatment private.

  • Comfortable fit: Smooth, BPA-free plastic won’t irritate cheeks or gums.

  • Removable trays: Eat and drink what you love without restrictions.

  • Easier hygiene: Brush and floss normally without navigating brackets and wires.

  • Customized treatment: Each set of aligners is digitally designed to address your unique needs.

  • Fewer office visits: No tightening or wire adjustments are required.

  • Faster results: Thanks to advanced SmartTrack® material, treatment can often be completed in half the time of traditional braces.

Smiling woman patient with Invisalign

How Invisalign® Works

1) Digital Planning & Custom Design

Using advanced 3D computer imaging, Dr. Marzban captures precise digital impressions of your teeth and bite. This data is used to design a series of aligners that map out your entire tooth movement plan from start to finish.

2) Gradual, Predictable Movement

Each aligner is worn for about 1–2 weeks, gently shifting teeth closer to their ideal position. You’ll move through your series of aligners under the guidance of our team until your new smile is achieved.

3) Wear Schedule & Care

To see consistent progress, you’ll wear your aligners for 20–22 hours per day, removing them only to eat, drink, brush, and floss. You’ll check in periodically for progress evaluations and to receive your next aligner sets.

4) Smile Retention

Once your treatment is complete, you’ll receive a custom retainer to maintain your results. Over time, you’ll transition from wearing it full-time to only at night, ensuring your beautiful smile lasts for years to come.

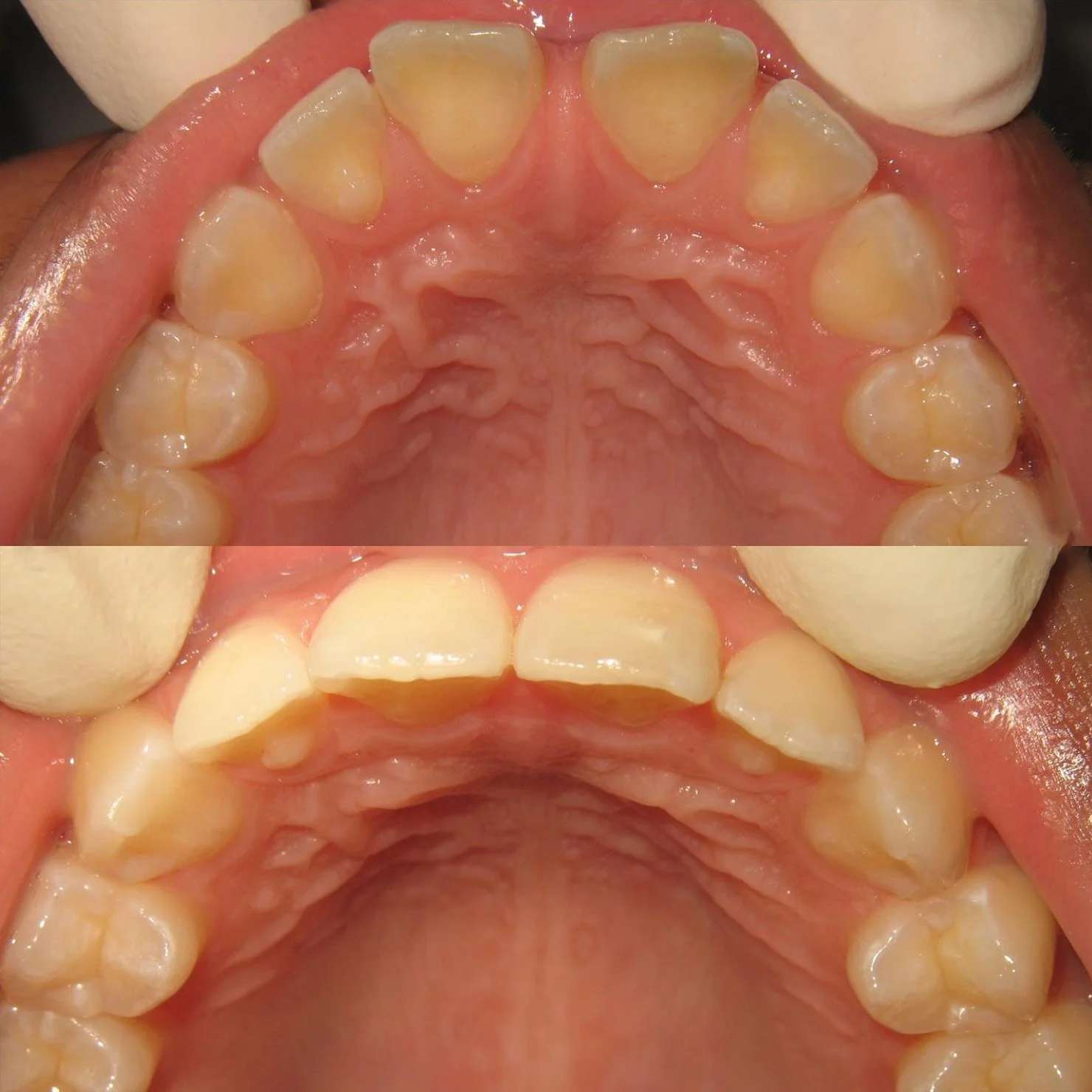
Before and After Invisalign® Treatment

Am I a Candidate for Invisalign®?

Invisalign® is effective for treating a wide range of alignment concerns, including:

✦ Overbite or underbite ✦ Crossbite or open bite ✦ Crowded or gapped teeth ✦ Uneven spacing or mild rotations ✦

Ideal candidates have healthy teeth and gums and are committed to wearing their aligners as directed. If you have existing concerns like decay, gum disease, or TMJ issues, Dr. Marzban will treat those first to ensure a stable, healthy foundation for orthodontic success. For more complex cases, she may recommend an alternative orthodontic or functional orthodontics approach for optimal long-term results.

Book an Appointment
Invisalign aligners

Common Questions About Invisalign®

  • Treatment length varies, but most patients complete their Invisalign plan in 6–18 months. Thanks to SmartTrack® material, many see results in half the time compared to older systems or braces.

  • You may experience minor adjustments during the first few days of wear, but most patients adapt quickly. Invisalign aligners fit snugly, making it easy to speak, work, and socialize with confidence.

  • Aligners are crafted from SmartTrack®, a medical-grade, BPA-free thermoplastic designed for durability and consistent tooth movement.

  • Yes. Wearing retainers ensures your teeth remain in their new position. Initially, you’ll wear them full-time, then only at night as your smile stabilizes.

Marzban dental office front desk

A Straighter Smile Starts Here

If you’ve been considering clear aligners or want to learn more about Invisalign® in Burke, Fairfax, Fairfax Station, or the surrounding Northern Virginia area, schedule a consultation with Dr. Pamela Marzban today.

Call 703-323-8200 or contact us online to discover how Invisalign can help you achieve the confident, healthy smile you’ve always wanted.

Book an Appointment