Woman with porcelain veneers
beauty

Porcelain Veneers

Cosmetic and Neuromuscular Dentistry in Burke, VA

Brighter Teeth, Bigger Confidence

If you’ve been feeling self-conscious about dull or stained teeth, you’re not alone, and you don’t have to settle for a smile that looks older or less vibrant than you feel. Coffee, tea, wine, and simply living life can dim your enamel over time, but the right whitening treatment can bring back that fresh, luminous glow.

As a leading cosmetic dentist in Burke, Fairfax, and Northern Virginia, Dr. Marzban offers professional whitening that’s safe, gentle, and genuinely effective, not the harsh, unpredictable results you get with drugstore kits. Our approach lifts deep stains, revives brightness, and restores that youthful radiance so your smile looks crisp, polished, and effortlessly confident.

You deserve a smile that lights up your face again. Let’s get you there.

Teeth Bonding & Reconstructive Dentistry

Cosmetic dental bonding uses a tooth-colored resin to refine the appearance of a smile by repairing small chips, smoothing uneven edges, or closing subtle gaps, often in a single visit. It’s an accessible way to enhance symmetry and is frequently used alongside veneers or as an introduction to cosmetic treatment.

Reconstructive dentistry goes further, restoring strength, function, and aesthetics after wear, trauma, or decay. Through Digital Smile Design, ceramic crowns, bridges, and dental implants, the goal is to rebuild the smile with results that look natural, feel comfortable, and support long-term oral health.

Are Porcelain Veneers Right for You?

Porcelain veneers offer a minimally invasive path to a dramatic, polished transformation. These thin, custom-crafted ceramic shells can brighten, lengthen, refine, and straighten the appearance of teeth within a streamlined treatment plan. Many patients choose veneers as part of a comprehensive smile makeover with a cosmetic dentist they trust in Northern Virginia.

Veneers are especially effective for:

Discoloration that doesn’t improve with whitening, worn or small teeth, uneven edges, gaps, mild crowding, and misshapen teeth.

Why Patients Love Veneers

  • Address multiple concerns in a single treatment plan

  • Natural translucency and customized shade matching

  • Beautiful results in a matter of weeks

  • Resistant to staining and built for longevity

  • Seamless integration into broader cosmetic and restorative plans

Close-up of a woman's face, showing her smiling with white teeth and wavy brown hair.
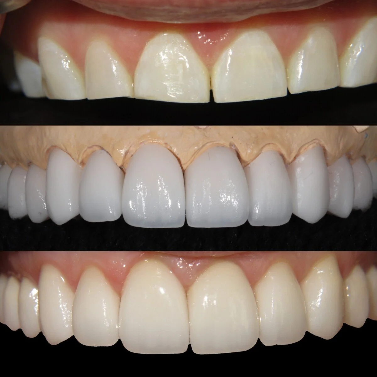
Close-up of two dental images. Top shows stained, damaged teeth; bottom shows clean, straight teeth. Emphasizes dental restoration and improvement.
Close-up of two sets of teeth showing a before-and-after comparison. The top image features a slightly yellowish tone, while the bottom shows whitened teeth, conveying cleanliness and dental improvement.
Close-up images of teeth show a comparison before and after dental treatment. The top teeth are discolored, chipped, and uneven; the bottom are whiter and more aligned.
Close-up of a person's teeth, before and after dental work. The top image shows discolored and chipped teeth, while the bottom shows even, white teeth.
Close-up of two smiles. Top: Teeth with uneven color and no lipstick. Bottom: Whiter, uniform teeth with bright red lipstick, showing a polished look.
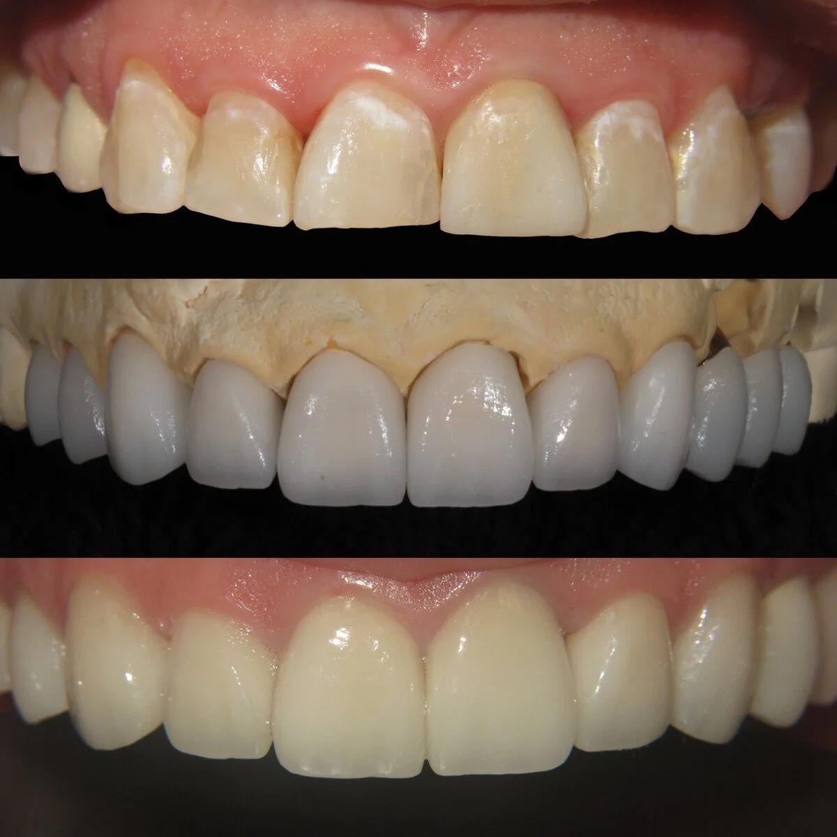
Close-up of two dental images. Top shows stained, damaged teeth; bottom shows clean, straight teeth. Emphasizes dental restoration and improvement.
Close-up of two sets of teeth showing a before-and-after comparison. The top image features a slightly yellowish tone, while the bottom shows whitened teeth, conveying cleanliness and dental improvement.
Close-up images of teeth show a comparison before and after dental treatment. The top teeth are discolored, chipped, and uneven; the bottom are whiter and more aligned.
Close-up of a person's teeth, before and after dental work. The top image shows discolored and chipped teeth, while the bottom shows even, white teeth.
Close-up of two smiles. Top: Teeth with uneven color and no lipstick. Bottom: Whiter, uniform teeth with bright red lipstick, showing a polished look.
Close-up of two dental images. Top shows stained, damaged teeth; bottom shows clean, straight teeth. Emphasizes dental restoration and improvement.
Close-up of two sets of teeth showing a before-and-after comparison. The top image features a slightly yellowish tone, while the bottom shows whitened teeth, conveying cleanliness and dental improvement.
Close-up images of teeth show a comparison before and after dental treatment. The top teeth are discolored, chipped, and uneven; the bottom are whiter and more aligned.
Close-up of a person's teeth, before and after dental work. The top image shows discolored and chipped teeth, while the bottom shows even, white teeth.
Close-up of two smiles. Top: Teeth with uneven color and no lipstick. Bottom: Whiter, uniform teeth with bright red lipstick, showing a polished look.
Close-up of two dental images. Top shows stained, damaged teeth; bottom shows clean, straight teeth. Emphasizes dental restoration and improvement.
Close-up of two sets of teeth showing a before-and-after comparison. The top image features a slightly yellowish tone, while the bottom shows whitened teeth, conveying cleanliness and dental improvement.
Close-up images of teeth show a comparison before and after dental treatment. The top teeth are discolored, chipped, and uneven; the bottom are whiter and more aligned.
Close-up of a person's teeth, before and after dental work. The top image shows discolored and chipped teeth, while the bottom shows even, white teeth.
Close-up of two smiles. Top: Teeth with uneven color and no lipstick. Bottom: Whiter, uniform teeth with bright red lipstick, showing a polished look.

Our Veneers Process

1) Consultation + Digital Smile Preview

Your visit begins with a comprehensive evaluation of tooth health, bite balance, and facial aesthetics. Using Digital Smile Design (DSD), you’ll see a highly realistic preview of your proposed smile at the very first appointment, allowing you to understand the vision before treatment begins.

2) Personalized Design

Each veneer is designed with precision. Dr. Marzban considers facial symmetry, lip dynamics, skin tone, and your individual goals to craft a look that feels authentically you. A master ceramist handcrafts every restoration so the shape, texture, and color harmonize with your natural features

3) Conservative Preparation

When refinement is needed, enamel is shaped gently and minimally to ensure the veneers sit flush and appear naturally integrated. Custom temporary veneers protect your teeth and allow you to experience the proposed shape while your final restorations are created.

4) Precise Placement

Your custom veneers are carefully tried in, adjusted, and bonded for a seamless, comfortable fit. Final checks confirm alignment, bite harmony, and flossing access. You’ll receive guidance on caring for your veneers to help maintain their beauty and longevity for years to come.

FAQs: Porcelain Veneers

  • Veneers can address many cosmetic concerns:

    • Discolored or deeply stained teeth (including stains that don’t respond to whitening)

    • Chipped or cracked teeth

    • Small, worn, or uneven teeth and edges

    • Gaps and uneven spacing

    • Mildly crooked or rotated teeth

    Note: veneers don’t replace missing teeth. For tooth replacement, we may recommend dental implants or other restorations as part of your smile makeover.

  • Yes, if you have good oral health: teeth free of active decay, healthy gums, and a balanced bite. We’ll evaluate for gum disease, decay, or signs of bruxism/TMJ. If needed, we’ll first complete gum disease treatment, bite stabilization, or other foundational care to support long-term veneer success.

    Learn More

  • No. Because we can match color and shape precisely, you can veneer one tooth, several, or your full visible smile. Your plan is personalized to your goals.

  • Only if you want them to. We can design a subtle, natural result that blends seamlessly—or a bolder transformation that still looks authentic.

  • Veneers bond to the front of your existing teeth. To achieve a perfect fit and natural profile, we typically remove a small amount of enamel so the veneer sits flush and in harmony with adjacent teeth.

  • Most cases take two visits a few weeks apart. At visit one, we prepare teeth, capture records for the lab, and place temporaries if needed. A master ceramist crafts your custom veneers. At visit two, we try-in, refine, and permanently bond your veneers.

  • Longevity depends on home care, bite forces, and regular maintenance. Modern ceramics are strong and stain-resistant. Published studies show excellent survival rates over 10+ years; many patients enjoy results well beyond that with proper care.

    • Brush twice daily and floss once daily (including between veneered teeth)

    • See us every six months for professional cleanings and exams

    • Avoid chewing ice or hard objects; limit frequent exposure to dark staining agents

    • If you clench or grind, wear your recommended night guard

Woman smiling with before and after porcelain veneers
Marzban dental office front desk

Start Your Veneers Journey

Experience a personalized preview of your future smile with Digital Smile Design and work with a nationally recognized cosmetic dentist serving Burke, Fairfax, and Fairfax Station. Call 703-323-8200 or contact Dr. Pamela Marzban to schedule your porcelain veneers consultation.